放射線科

診断と治療を支える画像検査を安全かつ迅速に行います

放射線科とは、診療放射線技師がCT・MRI・超音波・核医学・血管撮像などの各種画像診断装置を安全かつ迅速に使用し、診断・治療に役立つ画像を提供する部門です。
医療機器の保守管理に万全を期し、検査時間も極力短い時間で実施できるよう努力しております。
また、スタッフ個人が責任を持てるように、各種認定資格の取得に努めています。
検査などで、御不明な点がありましたら、お気軽にお尋ねください。

医療体制

資格取得一覧(2026年4月現在)

第1種放射線取扱主任者(文部科学省) 2名
検診マンモグラフィ撮影認定技師(マンモグラフィ検診精度管理中央機構) 8名
胃がん検診専門技師(日本消化器がん検診精度管理評価機構) 3名
X線CT認定技師(日本X線CT専門技師認定機構) 4名
核医学専門技師(日本核医学専門技師認定機構) 1名
PET認定技師(日本核医学会) 2名
臨床実習指導教員(日本診療放射線技師会) 3名
肺がんCT検診認定技師 1名
救急撮影認定技師 1名
AI認定診療放射線技師 1名
医療情報技師 1名
衛生工学 衛生管理者 1名
DMAT隊員 1名
乳がん検診超音波実施技師 2名
磁気共鳴専門技術者 1名

業務内容

機器の紹介

X線CT

2台のマルチスライスCT(320列、64列)にて検査を行っております。
CTはX線管と検出器が体の周りを360°回転しコンピュータ処理により画像を作成します。
頭部・胸部・腹部・四肢など全身の撮影ができ、心臓(冠動脈)などの撮影も可能です。
320列CTにより全身をより短時間で撮影できるようになり、患者さんの負担が少なくなりました。また、320列CTでは16cmの範囲(頭部や心臓など)を1回転で撮影できます。
また逐次近似再構成により被ばくの少ない検査が受けられます。

Aquilion ONE 320列
Aquilion CX
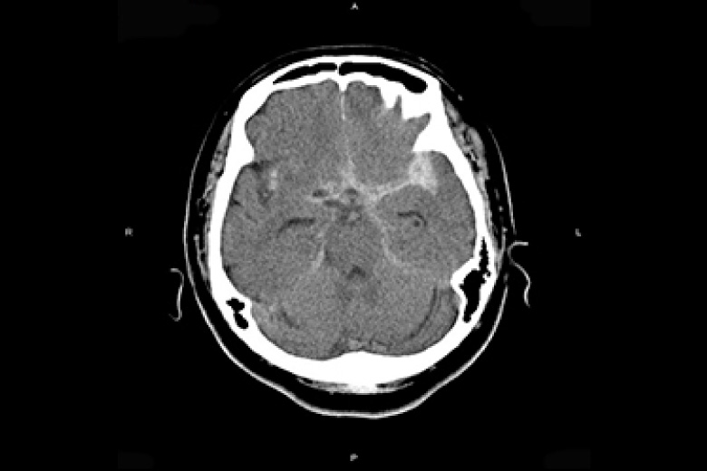
くも膜下出血
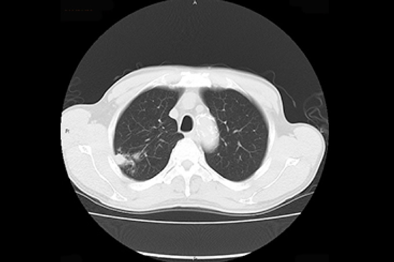
肺腫瘍
冠動脈狭窄
大動脈解離
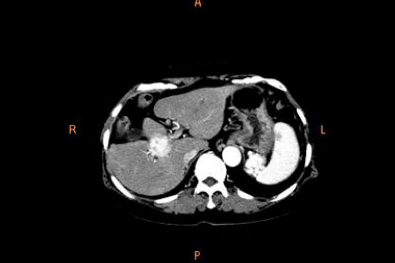
肝腫瘍

PET検査

PET検査とは、「陽電子放射断層撮影」という意味で、ポジトロン・エミッション・トモグラフィー(Positron Emission Tomography)の略です。当院の検査装置は、PETとCTを同時に短時間で撮影ができます。PETではがん細胞の活動状況を知ることを得意とし、CTでは臓器の形をしっかりと映し出すことを得意とします。その二つの画像を重ね合わせてみることにより、正確な診断を行うことができます。全身のがん、脳、心臓などの病気の診断に有効です。

RI(核医学検査)

RI検査(核医学検査)は、ごく微量の放射性物質(ラジオアイソトープ:RI)を含む薬を用いて病気を診断する検査です。この放射性医薬品を注射、吸入などにより体内に取り込みます。体内に取り込まれると、特定の臓器(骨や腫瘍など)に集まりそこから放出される放射線(γ線)をガンマカメラで測定し、その分布を画像化します。
この検査の特徴は臓器の位置や大きさの他に機能が分かるというところです。

検査の種類
心筋血流シンチ 脳血流シンチ 骨シンチ 甲状腺シンチ 腫瘍シンチなど

骨シンチ
転移性骨腫瘍
狭心症
心筋シンチ
脊髄小脳変性症
アルツハイマー型認知症 脳血流シンチ
【当院では心筋シンチと脳血流シンチに特に力を入れています】

MRI(磁気共鳴画像)

MRIとは、Magnetic Resonance Imaging の略で磁気共鳴断層撮影装置と呼ばれ、強い磁場の中で、人体内の水素原子核に電波を与え、そこから発生した電波を受し画像化する検査です。
当院では令和8年1月に1.5 テスラの最先端MRI装置を導入し、従来の3.0テスラMRI装置と2台で検査を行っています。
当院で使用している1.5テスラ及び3.0テスラ MRI 装置は、検査を受ける方の安心と快適さに配慮した最新の装置です。**直径70cmのワイドボア(開口部)**ですので、従来のMRI装置に比べて中が広く、圧迫感が少ないため、閉所が苦手な方や初めて MRI検査を受ける方でも、比較的リラックスして検査を受けることができます。
さらに、1.5テスラ MRI 装置は検査中に映像を見ることができる映像モニターを搭載しています。これにより、閉所恐怖症の方はもちろん、小さなお子さまでも不安を感じにくく、落ち着いて検査を受けることができます。

MRI検査の特徴

MRIは、X線撮影(一般撮影・CT)では描出できない脳・脊髄・椎間板・半月板・筋肉・腱・血管などの描出に優れています。また、人体の様々な断面像が得られるのと同時にX線を使わないため被ばくの心配がありません。

MRI検査の有用性

急性期の脳梗塞の診断に優れ、脳外科領域において非常に有用な検査です。軟部組織のコントラストに優れ、外科・整形外科・婦人科・泌尿器科の検査に有用です。
認知症や脳動脈瘤の診断など、検診等にも有用です。
造影剤を使用しなくても血管画像が得られる為腎機能が悪い方にも有用です。

MRIの注意点

撮影装置が少し狭いので閉所恐怖症の方は困難な場合があります。
検査中、大きな音がするので不快に感じるかもしれません。
検査時間が長いため、苦痛に感じるかもしれません。
強い磁場内に入室するため、機械類や金属等を持ち込まないよう着替えていただきます。

頭部MRA
MRCP
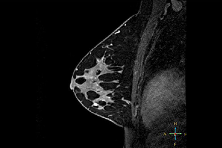
乳腺MRI

放射線治療

放射線治療とは身体できた病巣部に放射線を照射しがん等の病気を治す治療法です。
手術と比較し身体への負担が少なく病巣部を安全かつ効果的に治療することができます。
当院で使用する放射線は高エネルギーX線及び電子線で直線加速器(リニアック)を用いて人工的に放射線を作るため目的に応じた線質、強さ、量に調整することができます。
実際の治療ではまず治療開始前にCT撮影を行い、照射する場所、範囲、放射線の量等を専用の機器を用いて決定します。(下図参照)これをもとに治療時には装置に搭載されたX線撮影装置、CT装置にて画像を撮影し3次元的に位置照合を行い計画された方向より照射します。
治療装置は360度どの方向からでも照射可能で病巣を多方向から正確に照射することで治療効果の向上、病巣周囲の正常組織の線量を減らすことができます。
治療は1回約10分程度で(初回のみ20~30分)通常1日1回で20~30回程度行います。通常照射中は痛み等特になく身体への負担は少ないですが毎日休まずに行うことが重要となります。(治療は平日のみで土日祝日はお休みです)

バリアン True Beam

血管造影(DSA:デジタルサブトラクションアンギオグラフィー、IVR-CT)

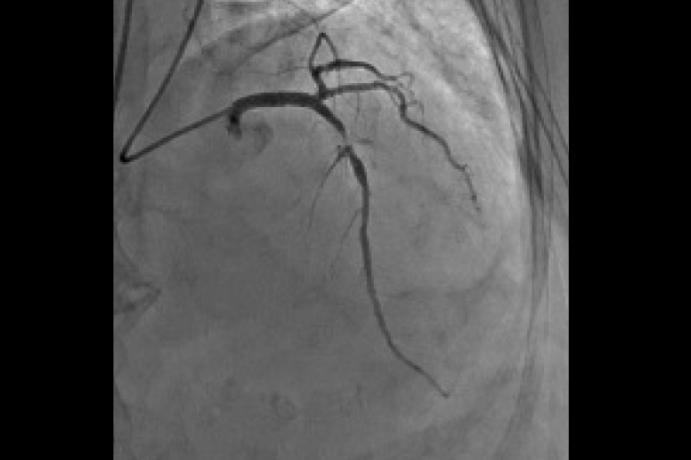
血管の中に造影剤を注入して脳、心臓、肝・胆道・膵、腎、四肢などの血管を造影診断、治療します。 心臓を中心とし検査を行う装置と腹部を中心とした検査をおこなう装置(IVR-CT)にて検査、治療をおこなっております。 心臓検査ではバイプレーン(2管球)装置のため少ない造影剤で検査を受けることができます。また腹部装置は80列CTとの組み合わせのためより高精細な画像が収集でき3Dガイド下にて検査・治療を行っています。

IVR-CT INFINIX Aquillion PRIME
肝臓損傷(出血)
心臓用アンギオ装置 INFINIX Celeve I
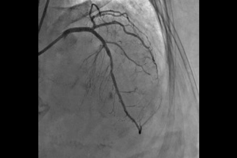
冠動脈狭窄 治療前
冠動脈狭窄 治療後

乳腺撮影(マンモグラフィ)

乳房撮影専用X線装置を用いて乳房を圧迫し、乳房内の組織の差を映し出す検査です。マンモグラフィではしこりや石灰化のように触れることの出来ない小さな病変を映し出すことが出来るため、早期乳がんや乳がん以外の病変を見つけ出すことにも有用です。マンモグラフィ検診精度管理中央機構により認定された放射線技師により適正にかつ正確な撮像を行っております。

当院では装置更新に伴い3D撮影も可能になりました。
乳房を挟んだ状態で装置上部が動き、複数の角度から撮影します。従来の撮影では乳腺に隠れてしまっていた病変も見つけ出しやすくなります。

患者さんへのお願い

・乳房を圧迫することで痛みを伴うことがあります。より良い画像を撮影するために大切なことですのでご協力お願いいたします。
・当院は3D撮影に続いて、従来の撮影を一連で実施します。可能な限り動かないようにお願いいたします。

結石破砕

腎臓・尿管・膀胱・尿道などにある結石を「尿路結石」といいます。なかでも尿管結石は頻度が高く、再発が多いことで知られており、再発率は30~40%程度と報告されています。尿路結石は小さなものなら自然排石も期待できますが、自排困難なものは手術的治療を行うことになります。 体外衝撃波結石破砕装置(ESWL)は、結石を細かく砕き自然排泄を促す装置です。

骨密度測定

骨のカルシウム含有度を測定します。 骨粗しょう症では年齢と共に骨密度が減少し骨がもろくなり、骨折しやすくなります。

歯科用パノラマ・コーンビームCT装置

この装置は通常の歯列2次元的に撮像するパノラマ撮影はもちろん3次元的に撮像するコーンビームCTも撮影できます。コーンビームCTでは、通常のCT装置と比べ高解像度、低被曝、金属アーチファクト低減といったメリットが挙げられます。また撮影モードには顎関節から全歯列を撮像するモード、全歯列を撮像するモード、目的とする一部の歯列のみを撮像するモードの3種類あり、治療目的に応じた撮影が可能です。

X線・TV撮影

Cアーム型FPD搭載TV他5台
整形領域の透視検査(ミエロ、ディスコ、神経根ブロックなど)を行います。
バリウムなどの造影剤を用い、胃、大腸、などの撮影を行ないます。

一般撮影(レントゲン)

頭部・胸部・腹部・全身の骨などの撮影をいたします。
肺炎等の肺疾患、腎結石、骨折等を調べます。
撮影において特に若年層の方には放射線防護を積極的に行なっています。またFPD装置を使用しているため検査が短時間でおわり、身体的負担の低減を図ることができます。また従来装置と比べてX線感度が高いので、被ばくの少ない撮影ができます。

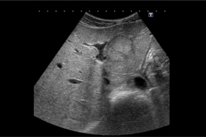
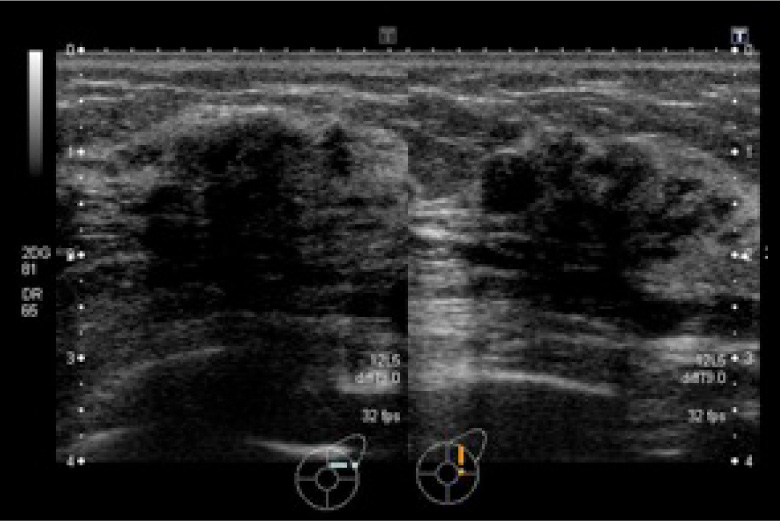
超音波検査

音の性質を利用して生体内の血流状態、及び断層像を描出することができます。腹部、頚部、乳腺、甲状腺、唾液腺などの実質臓器や胃・大腸などの消化管を見ています。無侵襲で痛みはほとんどなく被ばくが有りませんので安心して検査をお受けください。また乳腺領域の検査は女性技師が対応致します。

LOGIQ E9
乳腺腫瘍
肝臓腫瘍

医師紹介

画像診断部長

小島 寿久

こじま としひさ

所属学会・資格等
  • 日本医学放射線学会放射線科専門医
  • 日本医学放射線学会放射線診断専門医
  • 日本核医学会核医学専門医
  • 日本核医学会PET核医学認定医
  • 日本インターベンショナルラジオロジー学会IVR専門医
  • 臨床研修指導医

放射線治療部長

飯田 高嘉

いいだ たかよし

専門分野

放射線科

所属学会・資格等
  • 日本医学放射線学会放射線治療認定医・専門医
  • 日本医学放射線学会研修指導者
  • 日本がん治療認定医機構がん治療認定医
  • 原子力規制委員会第一種放射線取扱主任者
  • 岐阜大学医学部客員臨床系医学准教授
  • 臨床研修指導医

医師

白木 貴之

しらき たかゆき

医師

斉藤 昭弘

さいとう あきひろ

専門分野

泌尿器科

所属学会・資格等
  • 日本泌尿器科学会泌尿器科専門医・指導医
  • ICD認定医(インフェクションコントロールドクター)
  • 臨床研修指導医

診療についてのお問い合わせ

中濃厚生病院 企画総務課
  • 診療の予約、診療に関するお問い合わせはお電話にて承ります。
メニュー